martes, mayo 5, 2026
Tendencias

Creyeron que tenia un tumor, pero eran gasas olvidadas de una antigua operación

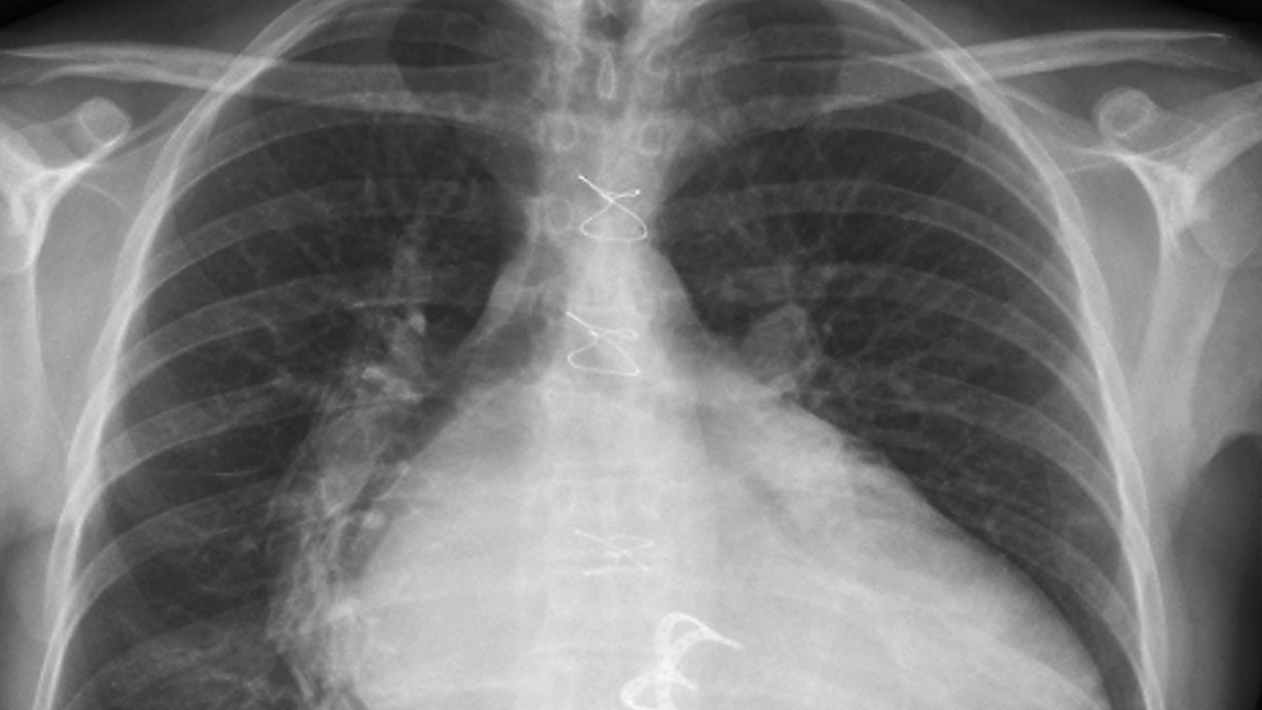
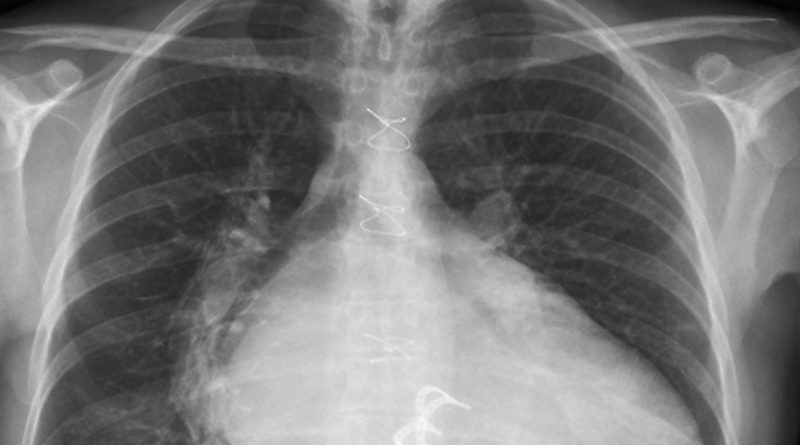
La Justicia falló a favor de un ciudadano de la provincia de La Pampa que demandó a una compañía de seguros por mala praxis. El hecho que desencadenó la denuncia fue una operación ante la sospecha de un tumor, el cual en realidad eran una gasas que salieron en las últimas radiografías. Estas fueron dejadas por médicos en su interior durante una cirugía de válvula del corazón.

El objeto en su interior, de más de 30 centímetros, fue suficiente para que la Cámara de Apelaciones Civil, Comercial, Laboral y de Minería de Santa Rosa fallara a su favor. De esta manera, admitió de manera parcial la demanda contra los cirujanos.

Las juezas Marina Álvarez y Laura Torres integraron la resolución que brindó la Sala I al asunto. Aunque especificaron que no hubo intención de dañar al paciente en los doctores, sí declaró que ambos cometieron una falta de “diligencia, prudencia y pericia” en su práctica.

El veredicto de las autoridades indicó que si no se hubiera dejado allí el objeto, “no habría causado ninguna consecuencia para la salud del paciente”. Asimismo, resolvieron que sí se trató de un caso de irresponsabilidad médica.

Hace más de dos años, el demandante debió ser sometido a una operación de válvula de corazón. Al detectarse el supuesto tumor, o quiste hidatídico, en otro establecimiento médico, tomaron la decisión de llevar a cabo una nueva cirugía. Sin embargo, al momento de llegar a la zona en cuestión, se toparon con, lo que la ley denominó, un “oblito olvidado”.

Comentarios