martes, mayo 5, 2026
Tendencias

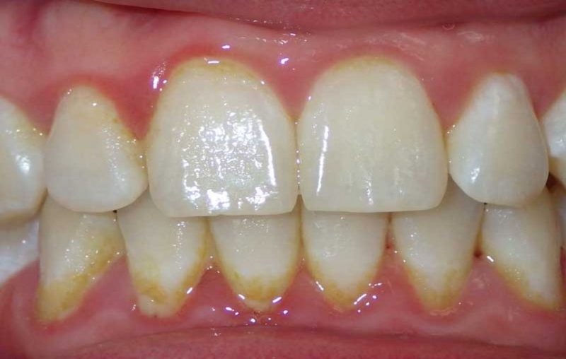
Descubren una molécula orgánica que permitirá terminar con la placa bacteriana bucal

 

Una molécula orgánica que impide que las bacterias se agarren a los dientes, ocasionando enfermedades bucales como caries o gingivitis, fue descubierta por científicos de la Universidad lusa de Coimbra (UC), Portugal.

Se aplicará como un enjuague bucal y actuará de tal manera que “las bacterias quedan atontadas y la molécula orgánica no permitirá que se agarren a los dientes”, explicó hoy a EFE el responsable clínico de la investigación, Sérgio Matos, profesor de la Universidad lusa de Coimbra (UC).

Según Matos, las soluciones orales clásicas, como los antisépticos, son, en realidad, “bactericidas que las matan de forma indiscriminada, tanto las buenas como las malas”.

Con el nuevo método, denominado “biolocker”, las bacterias no mueren, ya que algunas son “muy importantes” para otras funciones, como la gástrica o la cardíaca, manifestó Matos.

El producto crea un revestimiento antiadherente que impide que las bacterias se peguen al esmalte y “garantiza una protección más larga, durante todo el día, completando la eficacia del cepillado y suplantando las limitaciones de los actuales productos de higiene oral”.

Además, supone un avance en la prevención de enfermedades bucales porque el “biolocker” será barato y accesible, según el equipo de científicos, en el que participan también Daniel Abegão y Filipe Antunes.

La investigación comenzó hace dos años y medio, recordó Matos, y, tras el éxito de los ensayos “in vitro” con dientes de pacientes humanos, los expertos se disponen a aplicarlo en voluntarios e iniciar los trámites para obtener la patente internacional.

Los científicos subrayaron la importancia de la investigación dado que la caries y la gingivitis son las enfermedades infecciosas con mayor prevalencia a nivel mundial.

Los investigadores esperan que en un plazo aproximado de dos años se pueda comercializar el remedio, creado a partir de moléculas orgánicas obtenidas de la síntesis de proteínas.

Sérgio Matos avanzó que pretenden comercializar el producto tanto en frascos de enjuague bucal, como en dentífricos, pastillas o incorporándolo al hilo dental.

El proyecto también ha contado con la aportación de investigadores de la Universidad de Oporto (UP) y obtuvo un galardón de 70.000 euros en los premios “Caixa Impulse” que otorga la fundación española de La Caixa.

Comentarios

Deja un comentario

Tu dirección de correo electrónico no será publicada. Los campos obligatorios están marcados con *