Estaba tan borracho que se tragó las llaves de su casa

Un hombre fue al hospital la semana pasada, después de experimentar un dolor severo en el pecho, y se sorprendió al enterarse que su incomodidad era causada por las llaves de su casa, que pensó que había perdido la noche anterior luego de emborracharse con sus amigos.
El 7 de junio, un hombre de 26 años, identificado únicamente como Chang, de Guangdong, China, salió a tomar algo con sus amigos, para celebrar el fin de una larga semana laboral. Cuando llegó a casa en medio de la noche, buscó sus llaves, pero no pudo encontrarlas, así que llamó a alguien que estaba dentro, y les pidió que lo dejaran entrar.
Estaba bastante borracho, así que no pensó dos veces en sus llaves perdidas, sino que se fue directo a la cama. A la mañana siguiente, cuando el efecto adormecedor del alcohol comenzó a desaparecer, Chang comenzó a sentir un dolor agudo en el pecho, por lo que fue al hospital local de Dongguan para que lo revisaran.
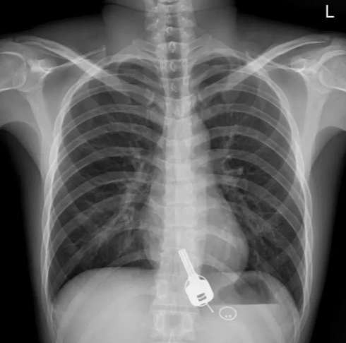
Cuando los médicos realizaron una radiografía de su torso, se sorprendieron al ver lo que parecía una llave alojada en su esófago. Le preguntaron al respecto, y él admitió haber perdido las llaves de su casa la noche anterior, pero no pudo ofrecer ninguna explicación sobre cómo terminaron dentro de su cuerpo. Al parecer se sorprendió tanto como los médicos cuando vio la radiografía.
El personal del Hospital Dongguan analizó la situación y decidió que dejar que las llaves pasaran por el sistema digestivo de Chang, y se eliminaran de forma natural era demasiado arriesgado, ya que el duro objeto podría desgarrar sus intestinos o causar una obstrucción intestinal potencialmente mortal. Al mismo tiempo, tratar de sacarlo con un equipo de endoscopia podría romper su esófago. La tercera opción era una cirugía de emergencia.
Los médicos dijeron que primero intentaron quitar las llaves con un gastroscopio, pero encontraron problemas cuando intentaron extraer la llave a través de la sección más estrecha del esófago de Chang, cerca de la garganta.
La llave era demasiado grande y tirar demasiado fuerte podría haber desgarrado el esófago, lo que habría tenido «consecuencias inimaginables». Así que abortaron el procedimiento y reconsideraron sus opciones. Para empeorar las cosas, la mayoría del personal del hospital estaba fuera de servicio por un feriado nacional, pero afortunadamente un anestesiólogo y el subdirector del Departamento de Gastroenterología del hospital cancelaron sus planes y acudieron para ayudar con la emergencia.
Después que el anestesiólogo le administró a Chang un medicamento que ayudó a relajar sus músculos, un gastroenterólogo pudo extraer la llave de metal y la tarjeta de acceso de plástico del esófago del hombre.
Cómo fue que Chang se tragó sus llaves sigue siendo un misterio que probablemente nunca se resolverá, ya que no recuerda casi nada de su salida nocturna.
