Se desgarró la garganta tratando de aguantar un estornudo
¿Tentado a reprimir un estornudo fuerte o inoportuno? Mejor dejá que salga. Es la recomendación de médicos británicos con base en el raro caso de un hombre que sufrió un desgarre en la parte posterior de la garganta cuando intentó contener un estornudo.
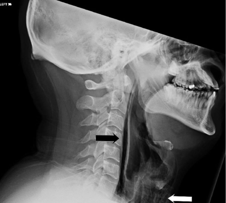
En un estudio publicado por British Medical Journal Case Reports, los doctores describen su confusión inicial cuando el paciente llegó a la sala de emergencias del hospital de Leicester quejándose de tener dificultades para deglutir y “una sensación de taponazos” en su inflamado cuello.
El paciente de 34 años dijo a los doctores que sus problemas comenzaron después que trató de impedir un estornudo tapándose la nariz y la boca. Eventualmente perdió la voz y pasó una semana en el hospital.

“Cuando se estornuda, el aire sale a unos 240 km/h”, declaró el doctor Anthony Aymat, director de servicios de otorrinolaringología en el Hospital Lewisham de la Universidad de Londres y quien no tuvo trato con el paciente. “Cuando una persona contiene toda esa presión, puede causarse mucho daño y terminar como el hombre Michelin, con aire retenido en el cuerpo”.
“Estornudar tiene como propósito expulsar algo del organismo, como virus y bacterias, que podrían terminar en la parte equivocada del organismo si no se hace”, apuntó. Jiang señaló que en la mayoría de los casos, el organismo absorbe después el aire excedente. El paciente británico se recuperó totalmente y se le indicó no taparse la nariz si va a estornudar. Los doctores le recomendaron usar un pañuelo al estornudar.
Fuente: TN
